-
Elbow Arthritis
Although the elbows are not weight-bearing joints, they are considered to be most important for the functioning of the upper limbs.
-
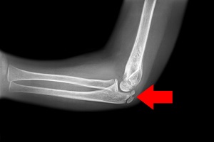
Radial Head Fracture
Radial head fractures are very common and occur in almost 20% of acute elbow injuries. Elbow dislocations are generally associated with...
-
Elbow Dislocation
The arm in the human body is made up of three bones that join to form a hinge joint called the elbow. The upper arm bone or humerus connects...
-
Elbow Fractures
Elbow fractures may occur from trauma, resulting from various reasons: a fall on an outstretched arm, a direct blow to the elbow...
-
Elbow Osteoarthritis
Elbow osteoarthritis is a degenerative joint disease that affects the elbow, causing the smooth cartilage that lines the ends...
-
Tennis Elbow
Tennis elbow is a common name for the elbow condition lateral epicondylitis. It is an overuse injury that causes inflammation...
-
Golfer's Elbow
Golfer’s elbow, also called medial epicondylitis, is a painful condition occurring from repeated muscle contractions...
-
Elbow Pain
Damage to any of the structures that make up the elbow joint can cause elbow pain.
-
Elbow Injuries
Some of the common elbow injuries include: Elbow fractures, Tennis elbow/golfer's elbow, Tendonitis...
-
Elbow Sprain
An elbow sprain is an injury to the soft tissues of the elbow. It is caused due to stretching or tearing (partial or full)...
-
Elbow Instability
Elbow instability is a condition in which the elbow joint occasionally slides out of alignment due to the unstable state of the joint.
-
Bicep Tendon Tear at the Elbow
A biceps tear can be complete or partial. Partial biceps tendon tears will not completely break the tendon while complete...
-
Triceps Injuries
The triceps or triceps brachii is a crucial muscle of the upper arm (humerus). It runs along the upper arm bone between the shoulder and elbow.
-
Elbow Ligament Injuries
Elbow ligament injuries are injuries to the tough elastic tissues that connect the bones of the elbow joint to each other.
-
Rheumatoid Elbow
Rheumatoid elbow is a chronic, progressive type of arthritis characterized by swelling and inflammation of the joint lining of the elbow.
-
Triceps Tendonitis
Triceps tendonitis is inflammation of the triceps tendon, the tissue that connects the triceps muscle on the back of the upper...
-
Cubital Tunnel Syndrome (Ulnar Nerve Entrapment)
When the ulnar nerve is compressed or entrapped, the nerve can tear and become inflamed, leading to cubital tunnel syndrome.
-
Elbow (Olecranon) Bursitis
Inflammation of the olecranon bursa leads to a condition called olecranon bursitis.
-
Elbow Contracture
Elbow contracture refers to a stiff elbow with a limited range of motion. It is a common complication following elbow...
-
Distal Humerus Fractures of the Elbow
Injury in the distal humerus can cause impairment in the function of the elbow joint. A distal humerus fracture is a rare...
-
Epicondylitis
Epicondylitis is an inflammation of the tendons surrounding the epicondyle, which is the bony protuberance in the elbow.
-
Throwing Injuries of the Elbow
An athlete uses an overhand throw to achieve greater speed and distance. Repeated throwing in sports such as baseball...
-
Ulnar Collateral Ligament (UCL) Injury
The ulnar collateral ligament (UCL), also called the medial collateral ligament, is located on the inside of the elbow...
-
Distal Biceps Injuries
The biceps is a large muscle present in front of the upper arm, extending from the shoulder joint to the elbow.
-
Adolescent Elbow Injuries
Adolescents are defined as individuals in the age group of 10 to 19 years. Adolescent elbow injuries are injuries...
-
Radial Tunnel Syndrome
Radial tunnel syndrome is a painful condition caused by pressure on the radial nerve of the forearm.



